
![]()

審美歯科は、見た目として美しい歯並びや歯肉をつくる目的と、歯並びや噛み合わせを治し、健康面の回復を図る目的を併せ持ちます。
口元にコンプレックスがあると、人前でなかなか自然な笑顔を作れないと思います。
美しい口元が自信を与える事により、気持ちを前向きにさせてくれます。
しかし実際は見た目の美しさの追求だけでなく、ホワイトニングは口内の衛生状態も保つことができ、虫歯や口臭を抑えることも可能であったり、歯並びやお顔との調和、歯本来の機能の回復も考え改善する総合的な歯科治療なのです。

方法1:クリーニング (研磨)
・歯の表面の汚れをペーストで磨いて取り除く
・研磨材で汚れた歯を磨く 研磨材で汚れた歯を磨く

方法2:クリーニング (器械清掃)
・歯面清掃器で多量に沈着したよごれやヤニを取り除く
・パウダーを水とエアーで吹き付ける

![]()
【オフィスホワイトニングの特徴】
・早く歯を白くしたい方・効果を実感されたい方に最適
・処置事時間は1回1時間前後
・歯髄へダメージを与えません

当院のオフィスホワイトニングでは、 低濃度の薬剤を使用しております。
そのため歯がしみることもなく、 エナメル質への影響も少なくて済みます。
歯質・歯肉にやさしく白さも長続きします。

![]()
【ホームホワイトニングの特徴】
・約2週間で歯が白くなった効果を実感できます
・歯髄へダメージを与えません。
・白い歯の効果が長持ちします。
・ご自宅で気軽に行う事ができます。

「NITEホワイト・エクセル」は短期間で安全にかつ
効果的にホワイトニングが行えるシステムです。
歯科医師により作製された透明なマウストレーに
「NITEホワイト・エクセル」ジェルを用いて
使用することができます。
「NITEホワイト・エクセル」ジェルを
1日最長2時間使用することにより、
素晴らしい効果を得ることができます。
個人差にもよりますが、2週間で輝くような白い歯になります。
「NITEホワイト・エクセル」の主成分は過酸化尿素です。
日本で初めて厚生労働省により認可された新しいホワイトニングシステムです。
過酸化尿素が配合された「NITEホワイト・エクセル」によって、
今まで困難とされていた着色歯面のホワイトニングも可能になりました。
![]()
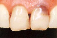
【前歯部ジャケット冠】
前歯2本がむし歯と以前治療をした部分が古くなって、 非常に見た目が悪くなっています。 すき間も気になりますね。



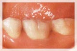
【臼歯部インレー】
奥歯にインレー(小さな詰め物)。 大きな口をあけると気になります。



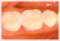
【臼歯部クラウン&インレー】
右奥歯に金属クラウン(冠)とインレー(小さな詰め物)。 最近は奥歯の見た目も気にする人が増えています。



■トップページ・アクセス
■医院紹介
■治療の流れ
■アンチエイジング
■インプラント
■審美歯科・ホワイトニング
■矯正歯科
■無痛治療・レーザー
■歯周病・予防歯科
■金属アレルギー
■入れ歯
■歯ぎしり・噛みしめ
Copyright(C)
New Nagoya Dental Clinic.
All Rights Reserved.